Wearing slippers is not as bad as you think, especially if you have this foot problem

If there's one common type of footwear that every Singaporeans has, it's slippers.
It's not the comfiest of all the shoes we own, but it's convenient and great for lazy or rainy days.
We slip them on without putting much thought about it, we strut to hawker centres, supermarkets, the beach and even to town in slippers. Hey, no judgement there if you can style it properly.
In fact, "wearing slippers actually helps relieve symptoms from painful bunions and doesn't put a strain on your calves unlike high heels", says Dr Tan Ken Jin of orthopaedic and sports medicine clinic, Orthosports.
Bunions are a foot deformity of the joint and bone in the big toes, making the bones protrude. In serious cases, the toes overlap, making it painful to wear covered shoes.
Specialising in foot injuries and problems, a third of Dr Tan's patients come to him for treatment for bunions, of which a majority are females, with a ratio of about one man to eight females.
DID YOU KNOW?
Bunions can develop due to genetic reasons if it runs in your family or due to your foot structure. It can also be caused by gout or other underlying medical foot conditions.
Wearing heels, narrow tip or ill-fitting shoes may not be the cause of bunions, but it increases the risk of developing bunions for those who are prone to it.
TYPES OF TREATMENT
While slippers may help temporarily with your situation, it's not the most practical option — it's not fashionable and there's no way you'll be wearing it to an event that requires you to dress up or even to work.
For bunions that aren't too serious, there are toebox shoes and silicone bunion shields to help prevent and stop the deformity at an early stage.
But your lifestyle may also face a change if you are predisposed to developing bunions. In such cases, doctors typically advise against participating in sports like running and basketball, which put too much pressure on the foot, and wearing narrow-tip shoes and heels are a no-no.
Dr Tan shares that other than these treatments, there are no other options available except for surgery.
He also said: "Medical practice for a long time would tell patients with bunions to wait till their deformity and symptoms are severe before going for a traditional surgery where an open incision and surgical saw are used to correct the bunion."
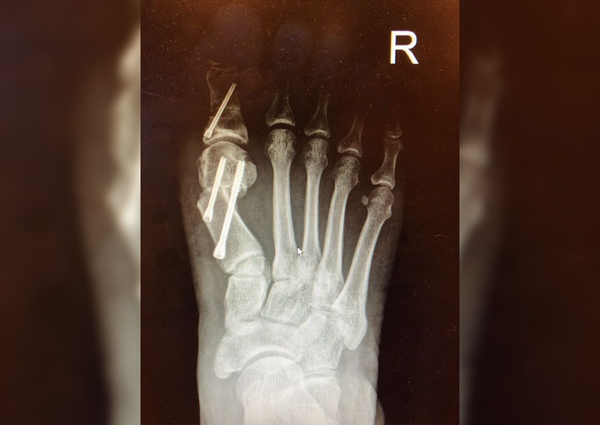
But now, with a new minimally-invasive surgery, patients can have the deformity fixed at an early stage with just a few keyhole insertions.
While it may be slightly more expensive, depending on the severity of the bunion, every surgery requires a new set of burrs (surgical drill) and the entire process is X-ray guided.
Dr Tan also mentioned that the new minimally-invasive surgery is less painful after the operation, and easier to care for in the first few months after the surgery as the wound is smaller. You can expect less swelling as well.
When asked why he is so passionate about treating patients with bunions, the orthopaedic surgeon simply said: "It's a common problem that people suffer from for a long time. They think nothing can be done and are usually put off by invasive surgery."
He hopes that people will be more aware of this new minimally-invasive surgery and how easily it can be treated so that they can enjoy a better quality of life.
So if you're reading this and suffering from bunions, know that there's hope yet.
This article is brought to you in partnership with Orthosports.
melissagoh@asiaone.com